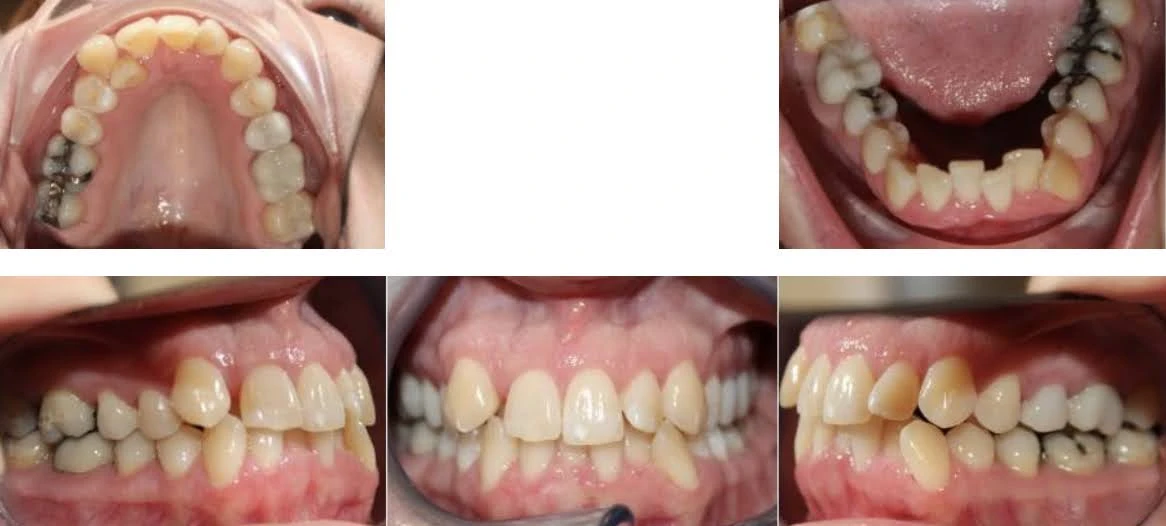
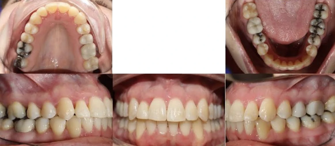
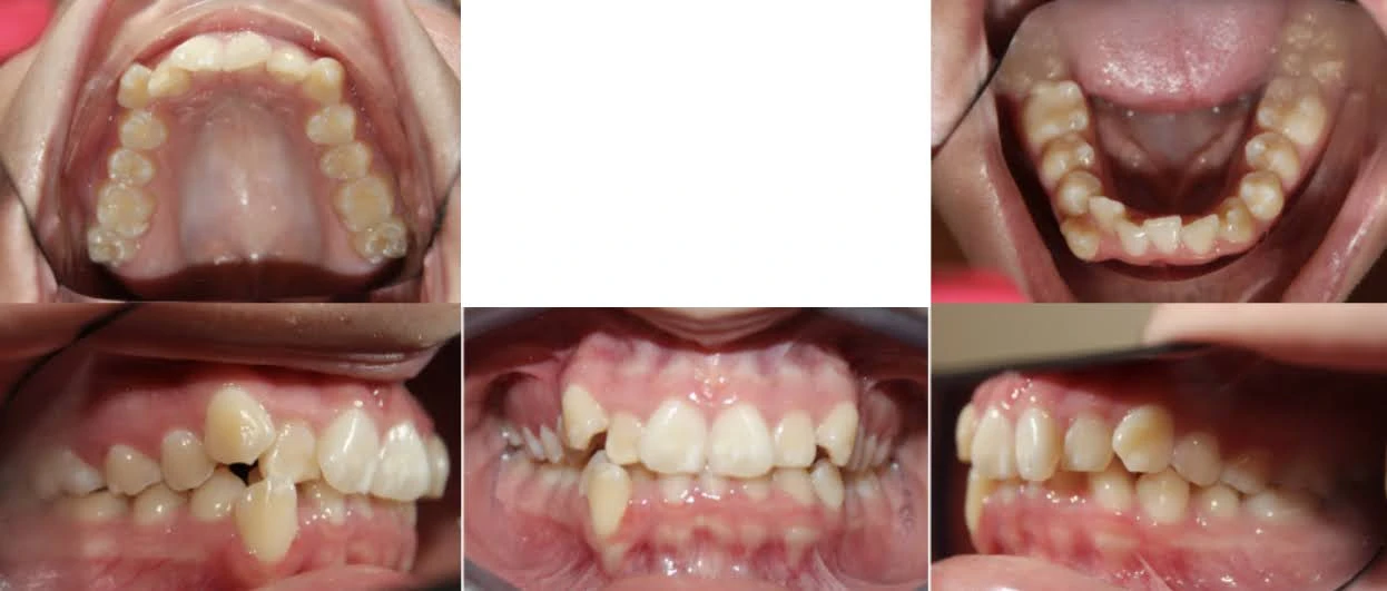
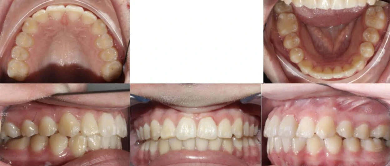
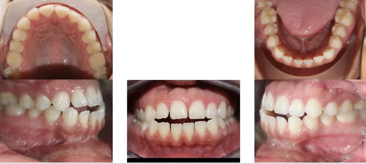
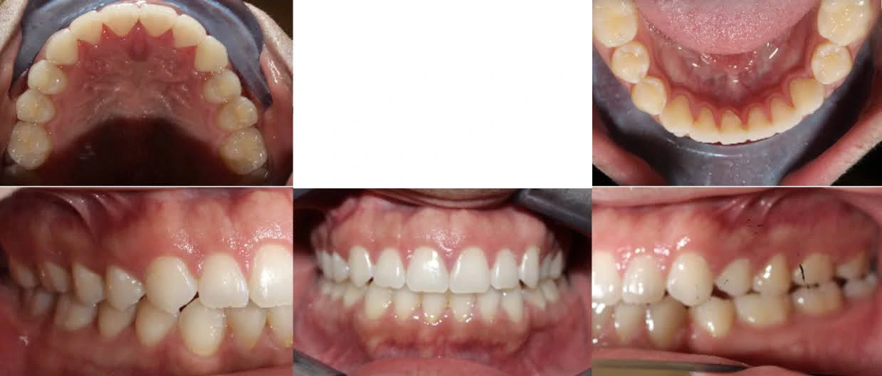
- Real Patient Results · Irvine, CA
Before & After Transformations by Dr. Lee
See real results from real patients treated right here at our Irvine office. From crowding and bite issues to full smile makeovers — these transformations show what board-certified expertise and honest treatment planning can achieve.









